Tonon Odontologia Tonon Odontologia
Vídeo de apresentação

Implantes totais e prótese protocolo - Transforme seu sorriso com conforto, segurança e previsibilidade

Especialistas em reabilitação oral com implantes totais. Trabalhamos com planejamento digital e próteses fixas de alta durabilidade.

• Parcelamento facilitado • Equipe especialista • Procedimento seguro e previsível

Equipe especialista

Profissionais especializados em Ortodontia e Ortopedia funcional dos maxilares.

Materiais de ponta

Aparelhos ortopédicos, aparelhos ortodonticos fixos, alinhadores infantis. .

Acompanhamento

Plano de tratamento, revisões e suporte no WhatsApp.

Ortopedia funcional: guiando o crescimento antes que vire problema

Tratamentos infantis que estimulam o desenvolvimento correto da face, da mordida e da respiração.

  • Planejamento do crescimento facial e funcional
  • Aparelhos ortopédicos feitos sob medida para cada fase
  • Acompanhamento que envolve pais e orienta hábitos saudáveis
Vídeo explicativo sobre as opções de aparelho

Como funciona

1) Pré-avaliação online, se preferir

Você responde algumas perguntas sobre sua saúde bucal e objetivos.

2) Consulta presencial

Na Tonon Odontologia, avaliamos com exames clínicos e radiográficos para indicar o melhor tipo de implante.

3) Planejamento personalizado

Definimos o número de implantes, materiais e condições de pagamento.

4) Cirurgia segura e rápida

Com anestesia local, materiais modernos e técnicas minimamente invasivas.

5) Acompanhamento e manutenção

Revisões periódicas e suporte direto com nossa equipe via WhatsApp.

Pacientes reais

Histórias de pessoas que buscaram conforto, segurança e um sorriso saudável.

Arraste no celular ou use as setas

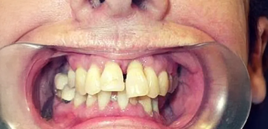
Caso Jairo — antes do tratamento
Antes
Caso Jairo — depois do tratamento
Depois

Jairo — Protocolo

Implantes superiores e inferiores - Técnica All on four.

Resultados variam conforme avaliação individual.

Caso Roberta — antes do tratamento
Antes
Caso Roberta — depois do tratamento
Depois

Roberta — Protocolo

Implantes superiores e inferiores - Técnica All on four.

Resultados variam conforme avaliação individual.

Caso Cláudia — antes do tratamento
Antes
Caso Cláudia — depois do tratamento
Depois

Cláudia — Protocolo

Implantes superiores e inferiores - Técnica All on four.

Resultados variam conforme avaliação individual.

Caso Fernanda — antes do tratamento
Antes
Caso Fernanda — depois do tratamento
Depois

Fernanda — Protocolo

Implantes superiores e inferiores - Técnica All on four.

Resultados variam conforme avaliação individual.

Dúvidas frequentes

O que é o protocolo de implantes?

É uma prótese total fixa, apoiada sobre implantes de titânio, que substitui todos os dentes da arcada. Diferente da dentadura, não é removível no dia a dia e permite mastigar com firmeza e conforto.

Dói para colocar?

Não. O procedimento é feito com anestesia local e, quando indicado, sedação. O pós-operatório costuma ser leve e bem controlado com orientações e medicação.

Em quanto tempo terei meus dentes fixos?

Depende do caso. Em alguns pacientes é possível a carga imediata (implantes e prótese no mesmo dia). Outros precisam de um curto período de cicatrização — sempre com prótese provisória para conforto e estética.

O protocolo serve para quem usa dentadura há muitos anos?

Sim. Mesmo com perda óssea, técnicas modernas — como enxertos ou implantes angulados — podem viabilizar a instalação com segurança após avaliação individual.

A prótese fica natural?

Sim. As próteses atuais têm aparência muito próxima a dentes naturais e são personalizadas ao formato do seu rosto e à estética da gengiva.

O protocolo é permanente?

Com higiene adequada e revisões periódicas, pode durar décadas. Ao longo dos anos, a prótese pode precisar de manutenções estéticas ou ajustes.

Qual é o custo?

Varia conforme materiais e complexidade. Na Tonon Odontologia, trabalhamos com planos personalizados e parcelamento. A avaliação inicial esclarece o melhor caminho para o seu caso.

Quais os cuidados depois do tratamento?

Higiene diária e revisões semestrais preservam resultados por muito tempo. Recomendamos:

  • Escovação cuidadosa e escovas interdentais
  • Fio dental específico para próteses sobre implante
  • Retornos periódicos para limpeza profissional e checagens

Onde estamos

Bairro da Penha — São Paulo/SP. Estacionamento e fácil acesso por transporte público.

WhatsApp: (11) 96465-0005

Artigos sobre Implantes

Informações confiáveis escritas por nossos especialistas para esclarecer suas dúvidas.

Dentadura Fixa Sobre Implantes

Entenda como funciona e quais as vantagens

Ler artigo

Diferença Entre Ponte Fixa e Prótese Removível

Compare as opções e escolha a melhor

Ler artigo

Implante Dentário Dói?

Descubra o que esperar do procedimento

Ler artigo

Implantes Dentários São Seguros?

Saiba sobre segurança e durabilidade

Ler artigo

O Que É Implante de Carga Imediata?

Dentes no mesmo dia: entenda como funciona

Ler artigo

Quanto Tempo Dura Um Implante?

Durabilidade e cuidados necessários

Ler artigo

Quem Pode Colocar Implantes Dentários?

Requisitos e critérios de avaliação

Ler artigo
Ver todos os artigos sobre implantes

O que nossos pacientes dizem

Mais de 4,9★ no Google e dezenas de depoimentos que refletem o cuidado, a humanização e o carinho que fazem a Tonon Odontologia ser referência na Penha.

5,0 • há 41 semanas

“Consultório impecável, atendimento nota mil.”

— Francine Brito
5,0 • abr/2024

“O melhor atendimento e qualidade de serviço que já vi. Fui e voltarei sempre.”

— Eduardo Bufani
5,0 • out/2023

“Consultório sensacional. Profissionais competentes, atualizados e humanos. Recomendo.”

— Edison Ribeiro
5,0 • out/2023

“Consultório lindo, limpo e organizado, além do melhor atendimento. Recomendo de olhos fechados.”

— Giuliana Rossin
5,0 • out/2023

“Consultório muito bem organizado e fui muito bem atendido.”

— Carlos Suguino
5,0 • out/2023

“Equipe nota 1000. Atendem minha filha com todo amor do mundo. Somos muito gratos.”

— Paula Sorgon
5,0 • out/2023

“Ótimo atendimento!”

— Gabriela Vidal
5,0 • out/2023

“Muita competência e qualidade nos serviços da Dra. Viviane. Fui muito bem atendida, super recomendo.”

— Dani Alves
5,0 • out/2023

“Profissional dedicada e cuidadosa, proporcionando sempre os melhores tratamentos para minha família.”

— Erika Castilhos
5,0 • out/2023

“Atendimento perfeito, clínica sempre limpa e higienizada. Sempre voltarei!”

— Ariadne Canonici
5,0 • out/2023

“Consultório lindo, muito educadas. Me atendem há mais de 3 anos, são incríveis.”

— Arthur Brandamento Frasica
5,0 • out/2023

“Profissionais sensacionais, tratamento impecável e consultório lindo.”

— Mariana Solera
5,0 • há 41 semanas

“Consultório impecável, atendimento nota mil.”

— Francine Brito
5,0 • abr/2024

“O melhor atendimento e qualidade de serviço que já vi. Fui e voltarei sempre.”

— Eduardo Bufani
5,0 • out/2023

“Consultório sensacional. Profissionais competentes, atualizados e humanos. Recomendo.”

— Edison Ribeiro
5,0 • out/2023

“Consultório lindo, limpo e organizado, além do melhor atendimento. Recomendo de olhos fechados.”

— Giuliana Rossin
5,0 • out/2023

“Consultório muito bem organizado e fui muito bem atendido.”

— Carlos Suguino
5,0 • out/2023

“Equipe nota 1000. Atendem minha filha com todo amor do mundo. Somos muito gratos.”

— Paula Sorgon
5,0 • out/2023

“Ótimo atendimento!”

— Gabriela Vidal
5,0 • out/2023

“Muita competência e qualidade nos serviços da Dra. Viviane. Fui muito bem atendida, super recomendo.”

— Dani Alves
5,0 • out/2023

“Profissional dedicada e cuidadosa, proporcionando sempre os melhores tratamentos para minha família.”

— Erika Castilhos
5,0 • out/2023

“Atendimento perfeito, clínica sempre limpa e higienizada. Sempre voltarei!”

— Ariadne Canonici
5,0 • out/2023

“Consultório lindo, muito educadas. Me atendem há mais de 3 anos, são incríveis.”

— Arthur Brandamento Frasica
5,0 • out/2023

“Profissionais sensacionais, tratamento impecável e consultório lindo.”

— Mariana Solera

Agende agora

Escolha presencial na Penha (SP) ou consulta online. Confirmação imediata.

  • Confirmação por WhatsApp e e-mail
  • Lembretes automáticos
  • Reagendamento simples

Usamos cookies/armazenamento local para melhorar sua experiência, medir conversões e personalizar comunicações. Saiba mais.

Pré-avaliação rápida

1 = posso esperar • 5 = preciso logo

Ao enviar, você concorda com o tratamento de dados para fins de marcação e preparo de consulta (LGPD).

Agendar consulta